
Institut für Pathologie
Transplantationspathologie
Die Pathologie spielt eine wichtige Rolle im Management sowie in der Behandlung von Patienten in der Transplantationsmedizin. Dabei tritt die Pathologie bereits vor der eigentlichen Transplantation in Erscheinung. Die Pathologie der Universitätsmedizin Essen ist deutschlandweit eine von wenigen Pathologien, die einen 24 Std. Rufdienst speziell für Organtransplantationen etabliert hat, um die Organqualität des Transplantates vor einer Transplantation sicher zu bestimmen.
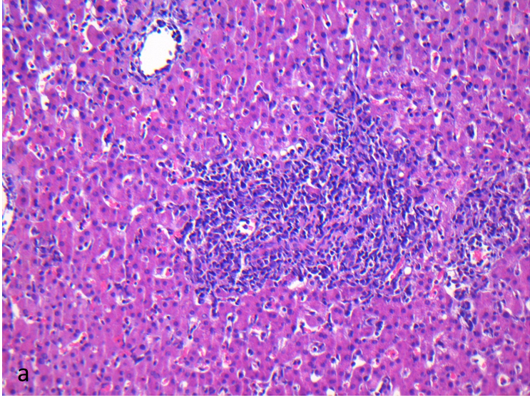
Falls nach einer Organtransplantation Komplikationen auftreten, kann über eine Gewebsentnahme die Ursache feingeweblich bestimmt werden. Hier ist es wichtig, eine Organabstoßung von einer Infektion oder einem Ischämie-/Reperfusionsschaden zu unterscheiden.
Weitergabe der pathologischen Expertise
Aufgrund der langjährigen Erfahrung auf dem Gebiet der Transplantationspathologie werden regelmäßig Fortbildungsveranstaltungen von der Pathologie des Universitätsklinikums Essen für auswärtige Pathologen durchgeführt. Diese Fortbildungsveranstaltungen werden im Rahmen der IAP (Internationale Akademie für Pathologie)-Veranstaltungen durchgeführt. Zusätzlich werden Updates zur Transplantationsdiagnostik in pathologischen Zeitschriften publiziert, damit alle Pathologen, die in die Transplant-Pathologie involviert sind, auf den neuesten Stand gebracht werden. Damit die Medizinstudenten bereits im Studium Kontakt mit der Transplantationspathologie bekommen, wird im Rahmen der „Speziellen Pathologie“ eine Kurs „Transplant-Pathologie“ angeboten.
Forschung
Die pathologische Forschung auf dem Gebiet der Transplantation ist sehr wichtig, um neue Erkenntnisse in Patientenbehandlung einzuführen. Das Institut für Pathologie forscht regelmäßig an neuen Methoden, um die Diagnostik weiter zu verbessern. So wurden neue Färbemethoden sowie neue technische Geräte verwendet, um die pathologische Diagnostik am Westdeutschen Zentrum für Organtransplantation zu optimieren.
Methoden
- Histologie: Die Standardmethode einer pathologischen Befundung ist die Anfertigung eines Gewebeschnittes mittels Gefrierschnitttechnik oder Paraffin-Einbettung. Anschließend werden unterschiedliche Färbungen angewendet um eine optimale Diagnostik sicherzustellen.
- Immunhistochemie: Mit Hilfe von Antikörpern können am histologischen Schnitt spezifisch Proteine nachgewiesen werden, deren Nachweis für die Diagnostik wichtig sein können.
- Molekularpathologie: In unserem molekularpathologischem Labor kann aus dem Gewebe DNA und RNA isoliert werden und weiter molekularpathologisch untersucht werden. Diesen Methoden ermöglichen z.B. eine ergänzende Diagnostik auf eine virale Infektion.



Institut für Pathologie
Hufelandstraße 55
45147 Essen
| Telefon | 0201 723 2890 |
| Fax | 0201 723 5926 |
| pathologieukessen@uk-essen.de | |
| URL | pathologie.uk-essen.de |